Göz damar tıkanıklığı, göz sağlığını tehdit eden ciddi bir rahatsızlıktır. Bu durum, retinayı besleyen damarlarda oluşan tıkanıklıklar sonucu ortaya çıkar ve görme fonksiyonlarında çeşitli sorunlara yol açabilir.
Göz Damar Tıkanıklığının Temel Nedenleri
Göz damar tıkanıklığının altında yatan birçok faktör bulunmaktadır. Bu faktörleri anlamak, hastalığı önleme ve tedavi etme stratejileri geliştirmek için kritik öneme sahiptir.
- Yaşam Tarzı ve Sağlık Koşulları: Sigara kullanımı, yüksek kolesterol, diyabet ve yüksek tansiyon gibi faktörler, damar sağlığını olumsuz etkileyerek tıkanıklık riskini artırır. Bu risk faktörlerini kontrol altına almak, hastalığın önlenmesi için önemli bir adımdır.
- Damar Sertliği: Ateroskleroz olarak bilinen damar sertliği, damarlarda plak birikmesi sonucu damarların daralmasına ve sertleşmesine neden olur. Bu durum, göz damarlarında tıkanıklık oluşumuna zemin hazırlar. Damar sertliği, kalp ve damar hastalıklarıyla da ilişkilidir ve bu nedenle genel kalp sağlığına dikkat etmek önemlidir.
- Kan Pıhtıları: Kan pıhtıları, retinal damarlarda tıkanıklığa yol açarak ani görme kaybına neden olabilir. Pıhtı oluşumunu artıran faktörler arasında kan pıhtılaşma bozuklukları ve bazı ilaçlar bulunur.
- Yaş: Yaş ilerledikçe göz damar tıkanıklığı riski de artar. Yaşlı bireylerde damarların esnekliğinin azalması ve diğer sağlık sorunlarının daha sık görülmesi, bu riski artıran faktörler arasındadır.
- Glokom: Yüksek göz içi basıncı, retinal damarlara baskı yaparak tıkanıklığa neden olabilir. Glokom, görme sinirine de zarar verebilen ciddi bir göz hastalığıdır ve düzenli kontrollerle erken teşhis edilmesi önemlidir.
- İltihaplanma: Göz iltihaplanmaları, retinal damar tıkanıklığına yol açabilen bir diğer faktördür. Göz iltihaplanmalarına çeşitli faktörler neden olabilir ve tedavi edilmediğinde ciddi komplikasyonlara yol açabilir.
Göz Damar Tıkanıklığı Belirtileri ve Çeşitleri
Göz damar tıkanıklığının belirtileri, tıkanıklığın türüne ve yerine bağlı olarak değişiklik gösterebilir. Hastalığın erken teşhisi için bu belirtilerin farkında olmak önemlidir.
- Bulanık Görme: Göz damar tıkanıklığının en yaygın belirtisi bulanık görmedir. Bulanıklık, etkilenen gözde kısmi veya tam olabilir ve aniden veya kademeli olarak gelişebilir.
- Görme Alanında Bozulmalar: Hastalar, görme alanlarında koyu lekeler, çizgiler veya “uçuşan cisimler” olarak tanımlanan şekiller görebilirler. Bu durum, retinada oluşan hasarın bir göstergesidir.
- Ağrı: Göz damar tıkanıklığı genellikle ağrısızdır. Ancak bazı durumlarda, özellikle neovasküler glokom geliştiğinde ağrı görülebilir.
- Merkezi Retina Ven Tıkanıklığı (MRVT): Retinanın ana damarında meydana gelen tıkanıklık, merkezi görme kaybına neden olabilir. Bu durum, genellikle kademeli olarak gelişir ve sistemik hastalıklarla ilişkili olabilir.
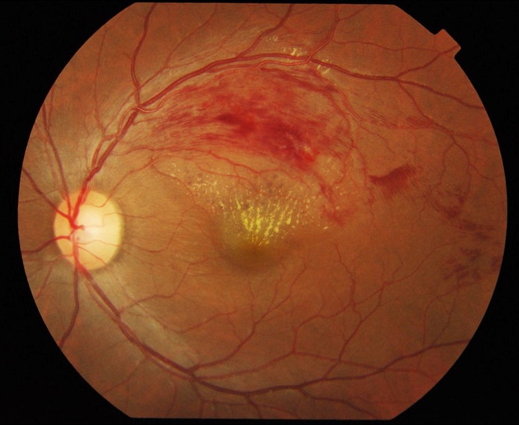
- Dallı Retina Ven Tıkanıklığı (DRVT): Retinada bulunan daha küçük damarlardan birinin tıkanması sonucu oluşan DRVT, bulanık görme ve görme alanı kaybına neden olabilir. Bu durum, genellikle atardamarların venleri geçtiği noktalarda meydana gelir.
- Hemi-Retina Ven Tıkanıklığı (HRVT): Retinanın yarısını etkileyen tıkanıklık, geniş bir görme alanı kaybına neden olabilir. MRVT ve DRVT ile benzer semptomlar gösterebilir, ancak etkilenen alan daha geniştir.
Göz Damar Tıkanıklığı Tanısı ve Tedavisi
Göz damar tıkanıklığı tanısı, göz doktoru tarafından yapılan kapsamlı bir göz muayenesiyle konulur. Bu muayene sırasında, göz bebeği genişletilir ve oftalmoskop adı verilen bir cihaz kullanılarak retina incelenir. Ayrıca, tanıyı doğrulamak ve hastalığın şiddetini değerlendirmek için aşağıdaki testler yapılabilir:
- Fundus Fotoğrafçılığı: Retinanın detaylı fotoğrafları çekilerek, hasarın boyutu ve yeri belirlenir.
- Floresan Anjiyografi: Göz damarlarına özel bir boya enjekte edilerek, damarların yapısı ve kan akışı hakkında detaylı bilgi edinilir.
- Optik Koherens Tomografi (OCT): Retinanın kesitsel görüntülerini oluşturarak, retina kalınlığındaki değişiklikleri ve sıvı birikimini tespit eder.
Göz damar tıkanıklığı tedavisi, hastalığın şiddetine, hastanın genel sağlık durumuna ve altta yatan nedenlere bağlı olarak değişiklik gösterebilir. Tedavinin temel amacı, görme kaybını önlemek veya en aza indirmek ve komplikasyonları önlemektir.
- Anti-VEGF Enjeksiyonları: Bu ilaçlar, anormal kan damarlarının büyümesini engelleyerek makula ödemi riskini azaltır.
- Steroid Enjeksiyonları: Steroidler, iltihabı ve şişliği azaltarak görme fonksiyonlarının iyileşmesine yardımcı olabilir.
- Lazer Tedavisi: Lazer tedavisi, anormal kan damarlarının yok edilmesi veya retinada oluşan hasarın onarılması için kullanılabilir.
- Cerrahi Müdahaleler: Bazı durumlarda, retina dekolmanı gibi komplikasyonları önlemek veya tedavi etmek için cerrahi müdahale gerekebilir.
Göz Damar Tıkanıklığında İyileşme Süreci ve Komplikasyonlar
Göz damar tıkanıklığı tedavisinden sonra iyileşme süreci, uygulanan tedaviye, hastanın genel sağlık durumuna ve hastalığın şiddetine bağlı olarak değişir. Hastaların, iyileşme sürecini hızlandırmak ve komplikasyon riskini azaltmak için doktorun talimatlarına dikkatle uyması önemlidir.
Göz damar tıkanıklığı ve tedavisi bazı komplikasyonlara yol açabilir.
- Makula ödemi: Retinada sıvı birikmesi sonucu görme bulanıklığı ve görme kaybına neden olabilir.
- Neovasküler glokom: Anormal kan damarlarının büyümesi sonucu göz içi basıncında artışa ve görme sinirine zarar verebilir.
- Retina dekolmanı: Retinanın gözün arka duvarından ayrılması, kalıcı görme kaybına neden olabilir.
- Vitreus kanaması: Gözün içini dolduran jel benzeri sıvıya kan sızması, görme bozukluğuna yol açabilir.
Göz damar tıkanıklığı, erken teşhis ve tedavi edilmediğinde ciddi sonuçlara yol açabilen bir hastalıktır. Bu nedenle, görme fonksiyonlarında herhangi bir değişiklik fark eden bireylerin vakit kaybetmeden bir göz doktoruna başvurması kritik öneme sahiptir.




