Santral Seröz Retinopati Nedir?
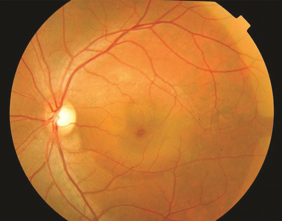
30 yaş üstü bireylerde daha sık görülen Santral Seröz Retinopati (SSR), retinanın merkezi bölgesi olan makulada sıvı birikmesi ile karakterize bir göz hastalığıdır. Görme keskinliğinde bulanıklık, dalgalanma ve metamorfopsi (görüntülerin bozuk veya eğri görünmesi) gibi belirtilere neden olabilir. SSR’nin kesin nedeni bilinmemekle birlikte, stres, yüksek tansiyon, kortikosteroid kullanımı ve bazı kişilik tipleri gibi risk faktörleri tanımlanmıştır.


SSR’nin belirtileri genellikle tek bir gözde görülür ve birkaç hafta veya ay içinde kendiliğinden iyileşebilir. Ancak bazı vakalarda görme kaybı kalıcı olabilir. Bu nedenle, görme problemleri yaşıyorsanız, erken teşhis ve tedavi için bir göz doktoruna danışmanız önemlidir.
SSR’nin teşhisi için göz doktorunuz göz muayenesi ve OCT (optik koherens tomografi) adı verilen bir görüntüleme testi yapacaktır. OCT, retinanın ayrıntılı görüntülerini elde ederek sıvı birikimini ve diğer anormallikleri tespit etmeye yardımcı olur.
Santral Seröz Retinopati Belirtileri Nelerdir?
Santral Seröz Retinopati’nin en yaygın belirtileri şunlardır:
- Görme keskinliğinde bulanıklık
- Görme dalgalanması
- Metamorfopsi (görüntülerin bozuk veya eğri görünmesi)
- Renk algısında değişiklikler
- Skotom (görme alanında karanlık noktalar)
- Mikropsi (görüntülerin normalden küçük görünmesi)
- Makropsi (görüntülerin normalden büyük görünmesi)
Bu belirtilerden herhangi birini yaşıyorsanız, en kısa sürede bir göz doktoruna görünmelisiniz.
Santral Seröz Retinopati Nedenleri
Santral Seröz Retinopatinin kesin nedeni bilinmemekle birlikte, bazı risk faktörleri tanımlanmıştır:
- Stres
- Yüksek tansiyon
- Kortikosteroid kullanımı
- C Tipi kişilik, A tipi kişilik
- Aile öyküsü
- Obezite
- Sigara içmek
- Uyku apnesi
Stres, Santral Seröz Retinopatinin en önemli risk faktörlerinden biri olarak kabul edilir. Stres, kortizol hormonunun salınımını artırır. Kortizol, kan damarlarının daralmasına ve retinanın geçirgenliğinin artmasına neden olabilir. Bu da sıvı birikimine ve Santral Seröz Retinopatiye yol açabilir.
Santral Seröz Retinopati Tedavi Yöntemleri
Santral Seröz Retinopatinin tedavisi, hastalığın şiddetine ve hastanın genel sağlık durumuna bağlıdır. Hafif vakalarda, doktorunuz gözlem ve yaşam tarzı değişiklikleri önerebilir. Yaşam tarzı değişiklikleri şunları içerir:
- Stresi azaltmak
- Sigarayı bırakmak
- Kan basıncını kontrol altında tutmak
- Sağlıklı beslenmek
- Düzenli egzersiz yapmak
Daha şiddetli vakalarda, doktorunuz lazer tedavisi veya fotodinamik tedavi (PDT) önerebilir. Lazer tedavisinde, sızdıran damarları kapatmak için lazer ışığı kullanılır. PDT’de ise, ışığa duyarlı bir ilaç damardan verilir ve lazer ışığı ile aktive edilir. Bu, sızdıran damarları tıkayarak sıvı birikmesini durdurur.
Santral Seröz Retinopati Tedavisi
Santral Seröz Retinopati tedavisinin başarı oranı, hastalığın şiddetine ve hastanın genel sağlık durumuna bağlıdır. Hafif vakaların çoğu, tedavi olmaksızın birkaç ay içinde kendiliğinden iyileşir. Daha şiddetli vakalarda, lazer tedavisi veya PDT görme keskinliğini iyileştirmeye yardımcı olabilir.

